라면, 햄버거, 피자, 프라이드치킨과 같은 초가공식품은 현대인의 식습관에서 쉽게 찾아볼 수 있다. 하지만 이러한 음식들이 우리의 건강과 체중에 미치는 부정적인 영향은 간과할 수 없다. 초가공식품은 간편하고 맛있지만, 섭취가 반복될수록 허벅지 근육에 지방을 축적하고 뇌의 보상 시스템을 변화시켜 살찌기 쉬운 체질로 만들 수 있다.

- 2026년 미국 정치의 심연, 앱스타인 파일과 바이든 대역설의 의학적·정치적 실체
- 2026 기초생활수급자 자격 및 신청 가이드, 소득인정액 계산부터 재산공제까지 완벽 정리
- 폐업 후 5천만 원 세금 소멸 신청 방법, 2026년 달라진 체납액 납부 의무 소멸 제도 완벽 정리
- 제프리 엡스타인 2026 미국 법무부 파일 공개와 이스라엘 생존설의 실체, 음모론과 글로벌 권력의 민낯
- 2026 밀라노 코르티나 동계 올림픽 스키점프 페니스 게이트와 해부학적 도핑, 스포츠 윤리의 위기와 기술적 규제의 진화
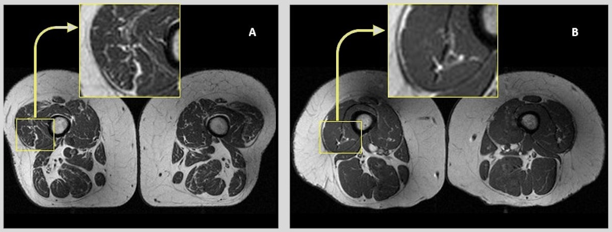
초가공식품과 허벅지 근육의 지방 축적
라면, 햄버거, 피자, 프라이드치킨 등의 칼로리가 높은 초가공식품을 자주 섭취하면 허벅지 근육에 지방이 과도하게 쌓이는 것으로 나타났다. 허벅지는 우리 몸 전체 근육량의 약 30~40%를 차지하는 중요한 부위로, 이곳에 지방이 축적되면 근육 기능이 저하되고 무릎 관절에 부담이 커져 관절 약화 및 관절염을 유발할 수 있다.
샌프란시스코 의대 연구팀은 MRI를 통해 초가공식품(라면, 햄버거, 피자, 프라이드치킨 등)을 자주 섭취한 사람들의 대퇴 근육에 지방 줄무늬가 더 많이 나타난다는 사실을 확인했다. (UCSF 연구, 2023)

이로 인해 계단 오르기나 빠르게 걷기 같은 일상 활동이 더 힘들어질 수 있으며, 운동 효과도 감소할 수 있다. 연구팀은 초가공식품 섭취를 줄일 것을 강력히 강조했다.
단 5일 만에 뇌를 변화시키는 초가공식품
더 충격적인 사실은 초가공식품이 단 5일 만에 뇌의 보상 시스템을 변화시켜 살찌기 쉬운 체질로 만들 수 있다는 점이다. 2025년 3월 네이처(Nature)지에 게재된 논문, “A short-term, high-caloric diet has prolonged effects on brain insulin action in men”에 따르면, 초가공식품을 단기간 섭취해도 뇌의 도파민과 세로토닌 보상 반응이 감소하는 것으로 나타났다. (Nature, 2025)
참고로 우리의 뇌는 맛있는 음식을 먹을 때 도파민을 분비해 보상을 주고, 맛없는 음식에는 페널티를 부여한다. 하지만 라면, 햄버거, 피자, 프라이드치킨 같은 초가공식품은 대부분 맛있거나 자극적이어서 뇌가 점차 이러한 음식만 선호하도록 변화한다.
네이처지에 게재된 논문에 따르면, 단 5일간만이라도 초가공식품을 섭취한 사람은 일반 음식에 대한 보상 반응이 낮아지고, 섭취를 중단한 후에도 초가공식품에 대한 갈망이 지속되는 것으로 나타났다. 또한, 이 짧은 기간 동안 간에 지방이 축적되는 현상도 관찰되었다. 이로 인해 식습관 조절이 어려워지고 체중 증가로 이어질 가능성이 높아질 수 있다.
초가공식품의 피해를 줄이는 방법
초가공식품을 완전히 피하기 어려운 경우, 다음과 같은 방법으로 그 피해를 최소화할 수 있다.
① 오메가-3가 풍부한 음식 섭취

오메가-3 지방산은 초가공식품 섭취로 인한 염증을 줄이는 데 효과적이다. 소화기 관련 권위지 Gut에 게재된 논문에 따르면, 고등어, 연어 같은 푸른 생선에 풍부한 오메가-3는 염증 해소를 촉진하는 전달자를 제공한다고 한다. (Gut, 2024)
초가공식품을 자주 섭취하는 사람은 일주일에 최소 두 번 오메가-3가 풍부한 음식을 섭취하거나, 음식 섭취가 어려운 경우 오메가-3 보충제를 고려하는 것이 좋다.
② 일주일에 최소 2시간 운동

초가공식품의 과다 섭취는 뇌 염증을 유발하고 장내 미생물 균형을 무너뜨려 세로토닌 분비를 감소시킬 수 있는 것으로 나타났다. 이는 우울증과 같은 정신 건강 문제로 이어질 수 있다. 하지만 일주일에 2시간 이상 중강도 또는 고강도 운동을 하면 이러한 문제를 완화할 수 있다.
참고로 운동은 뇌의 변연계를 활성화해 신경 기능을 회복하고, 도파민과 세로토닌 분비를 촉진해 기분을 안정시키는 효과가 있다. 가벼운 걷기보다는 빠르게 걷기, 러닝, 또는 웨이트 트레이닝 같은 운동이 더 효과적이다.
마치며
초가공식품은 허벅지 근육에 지방을 축적하고 뇌의 보상 시스템을 변화시켜 체중 증가를 유발할 수 있다. 단 5일 만에 이러한 변화가 시작될 수 있다는 점은 충격적이다. 이를 예방하려면 초가공식품 섭취를 줄이고, 오메가-3가 풍부한 음식과 꾸준한 운동을 통해 건강을 관리해야 한다. 건강한 식습관과 생활 습관은 장기적인 체중 관리와 전반적인 웰빙에 큰 도움을 줄 것이다.
본 포스트의 건강 관련 모든 콘텐츠는 발표된 논문과 연구자료 및 학술지, 건강관련 서적 등을 바탕과 더불어 개인적인 학습을 통해 건강한 정보전달을 위해 제작 되었습니다. 그러나 사람마다 체질, 건강상태 등이 모두 다르므로 결과 또한 다를 수 있음을 알립니다.
